
At Gentle Dental Nairobi, we see gum disease every day — often in people who had no idea anything serious was going on. Gum disease is common, usually painless in the early stages, and very treatable when caught early. What modern research has shown, however, is that gum disease affects far more than just your mouth.
Healthy gums support your overall health, not just your smile.
What Is Gum Disease?
Gum disease, also known as periodontal disease, is a chronic infection and inflammation of the gums and the bone that supports the teeth. It develops when bacteria build up around the teeth and under the gumline.
There are two main stages:
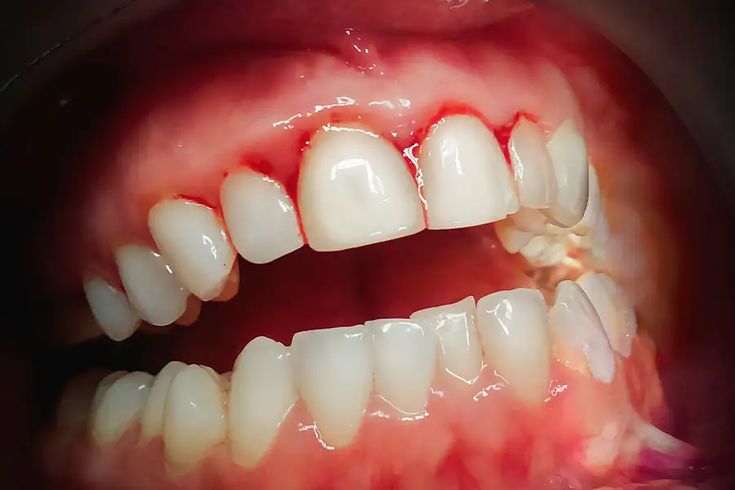
Gingivitis
This is the early stage of gum disease. Gums may look red or swollen and may bleed during brushing or teeth cleaning. There is usually little or no pain. Gingivitis is completely reversible with proper professional care and good home cleaning.
Periodontitis
If gingivitis is left untreated, it can progress to periodontitis. At this stage, the gums pull away from the teeth, bone support is lost, and teeth may become loose. Damage at this stage can be controlled but not reversed, which is why early treatment is so important.
Why Gum Disease Is Often Missed
Many people assume that bleeding gums are normal or caused by brushing too hard. In reality, bleeding is one of the earliest signs of infection. Because gum disease often causes little pain, it can quietly progress for years without being noticed.
Signs You Shouldn’t Ignore
• Gums that bleed when brushing or flossing
• Red, swollen, or tender gums
• Persistent bad breath or bad taste
• Receding gums or teeth looking longer
• Sensitivity near the gumline
• Loose or shifting teeth
If you notice any of these signs, it’s important to have your gums checked, even if your teeth don’t hurt.
The Mouth–Body Connection: What Research Shows
Over the past decade, strong research evidence has shown clear links between gum disease and other health conditions. Gum disease creates chronic inflammation and allows bacteria from the mouth to enter the bloodstream.
Conditions that have been linked to gum disease include:
Heart disease and stroke, diabetes, pregnancy complications, respiratory conditions, and inflammatory diseases.
The key message is simple: treating gum disease supports whole-body health.
What Causes Gum Disease?
Gum disease is caused by bacterial plaque, but several factors increase risk:
• Inadequate or irregular teeth cleaning
• Smoking or vaping
• Stress
• Hormonal changes
• Certain medications
• Genetic susceptibility
How We Diagnose Gum Disease at Gentle Dental Nairobi
We carry out a thorough gum assessment using gum measurements, X-rays, and a review of medical history.
How We Manage Gum Disease at Gentle Dental
Our approach is gentle, evidence-based, and personalised.
Professional Teeth Cleaning
For early gum disease, professional teeth cleaning may be enough to remove plaque and hardened deposits and allow the gums to heal.
Deep Gum Cleaning (Scaling and Root Planing)
For more advanced cases, we perform deep cleaning below the gumline under local anaesthesia.
Supportive Gum Care
Regular maintenance visits help prevent recurrence and keep gums stable.
A Gentle Dental Reassurance
Being diagnosed with gum disease is not a failure. It simply means your gums need professional support. At Gentle Dental Nairobi, we take time to explain your condition and treatment clearly and calmly.
